- Головна
- Готові шкільні презентації
- Презентація на тему «Биосферный и биоценотический уровни организации жизни»
Презентація на тему «Биосферный и биоценотический уровни организации жизни»
215
Поділитись підручником в соціальних мережах
Слайд #1
Модуль № 1 Биосферный и биоценотический уровни организации жизни
Слайд #2
ЛЕКЦИЯ № 1
ЭКОЛОГИЯ
ЧЕЛОВЕКА Введение в медицинскую паразитологию
ЭКОЛОГИЯ
ЧЕЛОВЕКА Введение в медицинскую паразитологию
Слайд #3
Медицинская биология
изучает жизнедеятельность и здоровье человека (молекулярный, генетический, клеточный, онтогенетический, популяционный и экологический факторы).
Слагаемые здоровья человека
изучает жизнедеятельность и здоровье человека (молекулярный, генетический, клеточный, онтогенетический, популяционный и экологический факторы).
Слагаемые здоровья человека
Слайд #4
Экология человека
Это комплексная дисциплина, которая изучает закономерности взаимодействия человека с окружающей средой, вопросы народонаселения, сохранения, развития здоровья, совершен-ствования физических и психических возможностей человека
Это комплексная дисциплина, которая изучает закономерности взаимодействия человека с окружающей средой, вопросы народонаселения, сохранения, развития здоровья, совершен-ствования физических и психических возможностей человека
Слайд #5
Введение в медицинскую паразитологию
МП является частью экологии человека.
Паразитизм (рага-около, zitos-питание) - это форма антагонистического симбиоза (сожительство разных видов), при котором один вид (I) организма живет за счет другого вида организма (II), причиняя ему вред.
МП является частью экологии человека.
Паразитизм (рага-около, zitos-питание) - это форма антагонистического симбиоза (сожительство разных видов), при котором один вид (I) организма живет за счет другого вида организма (II), причиняя ему вред.
Слайд #6
Медицинская паразитология изучает:
паразитов человека;
взаимоотношения паразитов и хозяев;
методы диагностики;
лечение и профилактику паразитозов (заболеваний, которые вызываются паразитами).
МП делится на 3 раздела:
Мед. протозоология
Мед. гельминтология
Мед. арахноэнтомология
паразитов человека;
взаимоотношения паразитов и хозяев;
методы диагностики;
лечение и профилактику паразитозов (заболеваний, которые вызываются паразитами).
МП делится на 3 раздела:
Мед. протозоология
Мед. гельминтология
Мед. арахноэнтомология
Слайд #7
Медицинская паразитология изучает:
паразитов человека;
взаимоотношения паразитов и хозяев;
методы диагностики;
лечение и профилактику паразитозов (заболеваний, которые вызываются паразитами).
МП делится на 3 раздела:
Мед. протозоология
Мед. гельминтология
Мед. арахноэнтомология
паразитов человека;
взаимоотношения паразитов и хозяев;
методы диагностики;
лечение и профилактику паразитозов (заболеваний, которые вызываются паразитами).
МП делится на 3 раздела:
Мед. протозоология
Мед. гельминтология
Мед. арахноэнтомология
Слайд #8
План ответа
По этому плану нужно уметь характеризовать (дать описание) любого паразита или переносчика
Название (русское и латинское)
Географическое распространение (в каких странах)
Морфологические особенности (строение)
Стадии жизненного цикла (развитие)
Пути проникновения в организм человека и локализация
Медицинское значение (название заболевания)
Лабораторная диагностика (как определить)
Профилактика (что нужно делать, чтобы не заболеть)
По этому плану нужно уметь характеризовать (дать описание) любого паразита или переносчика
Название (русское и латинское)
Географическое распространение (в каких странах)
Морфологические особенности (строение)
Стадии жизненного цикла (развитие)
Пути проникновения в организм человека и локализация
Медицинское значение (название заболевания)
Лабораторная диагностика (как определить)
Профилактика (что нужно делать, чтобы не заболеть)
Слайд #9
План ответа
По этому плану нужно уметь характеризовать (дать описание) любого паразита или переносчика
Название (русское и латинское)
Географическое распространение (в каких странах)
Морфологические особенности (строение)
Стадии жизненного цикла (развитие)
Пути проникновения в организм человека и локализация
Медицинское значение (название заболевания)
Лабораторная диагностика (как определить)
Профилактика (что нужно делать, чтобы не заболеть)
По этому плану нужно уметь характеризовать (дать описание) любого паразита или переносчика
Название (русское и латинское)
Географическое распространение (в каких странах)
Морфологические особенности (строение)
Стадии жизненного цикла (развитие)
Пути проникновения в организм человека и локализация
Медицинское значение (название заболевания)
Лабораторная диагностика (как определить)
Профилактика (что нужно делать, чтобы не заболеть)
Слайд #10
Общая характеристика класса ZOOMASTIGOPHORA (жгутиковые)
Имеют 1 или несколько жгутиков - органоиды движения.
У некоторых видов есть ундулирующая мембрана. Клетка жгутиковых покрыта пелликулой - оболочкой. Питание гетеротрофное. Размножение бесполое: продольное деление надвое. Такое деление характерно для жгутиковых. Многие виды имеют медицинское значение (вызывают болезни).
Имеют 1 или несколько жгутиков - органоиды движения.
У некоторых видов есть ундулирующая мембрана. Клетка жгутиковых покрыта пелликулой - оболочкой. Питание гетеротрофное. Размножение бесполое: продольное деление надвое. Такое деление характерно для жгутиковых. Многие виды имеют медицинское значение (вызывают болезни).
Слайд #11
Трипаносомы африканские
1.Латинское название: 1)TRYPANOSOMA BRUCEI GAMBIENSE,
2)TRYPANOSOMA BRUCEI RHODESIЕNSE.
Glosslna palpalis
1.Латинское название: 1)TRYPANOSOMA BRUCEI GAMBIENSE,
2)TRYPANOSOMA BRUCEI RHODESIЕNSE.
Glosslna palpalis
Слайд #12
Трипаносома американская
Латинское название: TRYPANOSOMA CRUZI
Triatoma infestans
trypomastigote
amastigote stage
Латинское название: TRYPANOSOMA CRUZI
Triatoma infestans
trypomastigote
amastigote stage
Слайд #13
Трипаносома американская
Латинское название: TRYPANOSOMA CRUZI
Triatoma infestans
trypomastigote
amastigote stage
Латинское название: TRYPANOSOMA CRUZI
Triatoma infestans
trypomastigote
amastigote stage
Слайд #14
LEISHMANIASIS
Amastigote
Promastigote
Amastigote
Promastigote
Слайд #15
Phlebotomus
Слайд #16
Phlebotomus
Слайд #17
LAMBLIA intestinalis
Слайд #18
LAMBLIA intestinalis
Слайд #19
Trichomonas
vaginalis
Trichomonas
hominis
vaginalis
Trichomonas
hominis
Слайд #20
Тип APICOMPLEXA, Класс SPOROZOA
Нет органелл движения, пищеварительных и выделительных вакуолей;
Есть апикальный комплекс – органоид для проникновения в клетки хозяина;
Образуют спорозоиты – подвижные споры;
Разные формы размножения:
1)бесполое - эндогония (внутреннее почкование), шизогония (множественное деление), спорогония (образование спор);
2) половое – копуляция (слияние макро- и микрогамет с образованием зиготы)
В жизненном цикле есть основной и промежуточный хозяин. В основном (окончательном) хозяине паразит размножается половым путем. В промежуточном хозяине паразит размножается бесполым путем.
Нет органелл движения, пищеварительных и выделительных вакуолей;
Есть апикальный комплекс – органоид для проникновения в клетки хозяина;
Образуют спорозоиты – подвижные споры;
Разные формы размножения:
1)бесполое - эндогония (внутреннее почкование), шизогония (множественное деление), спорогония (образование спор);
2) половое – копуляция (слияние макро- и микрогамет с образованием зиготы)
В жизненном цикле есть основной и промежуточный хозяин. В основном (окончательном) хозяине паразит размножается половым путем. В промежуточном хозяине паразит размножается бесполым путем.
Слайд #21
Тип APICOMPLEXA, Класс SPOROZOA
Нет органелл движения, пищеварительных и выделительных вакуолей;
Есть апикальный комплекс – органоид для проникновения в клетки хозяина;
Образуют спорозоиты – подвижные споры;
Разные формы размножения:
1)бесполое - эндогония (внутреннее почкование), шизогония (множественное деление), спорогония (образование спор);
2) половое – копуляция (слияние макро- и микрогамет с образованием зиготы)
В жизненном цикле есть основной и промежуточный хозяин. В основном (окончательном) хозяине паразит размножается половым путем. В промежуточном хозяине паразит размножается бесполым путем.
Нет органелл движения, пищеварительных и выделительных вакуолей;
Есть апикальный комплекс – органоид для проникновения в клетки хозяина;
Образуют спорозоиты – подвижные споры;
Разные формы размножения:
1)бесполое - эндогония (внутреннее почкование), шизогония (множественное деление), спорогония (образование спор);
2) половое – копуляция (слияние макро- и микрогамет с образованием зиготы)
В жизненном цикле есть основной и промежуточный хозяин. В основном (окончательном) хозяине паразит размножается половым путем. В промежуточном хозяине паразит размножается бесполым путем.
Слайд #22
Тип APICOMPLEXA, Класс SPOROZOA
Нет органелл движения, пищеварительных и выделительных вакуолей;
Есть апикальный комплекс – органоид для проникновения в клетки хозяина;
Образуют спорозоиты – подвижные споры;
Разные формы размножения:
1)бесполое - эндогония (внутреннее почкование), шизогония (множественное деление), спорогония (образование спор);
2) половое – копуляция (слияние макро- и микрогамет с образованием зиготы)
В жизненном цикле есть основной и промежуточный хозяин. В основном (окончательном) хозяине паразит размножается половым путем. В промежуточном хозяине паразит размножается бесполым путем.
Нет органелл движения, пищеварительных и выделительных вакуолей;
Есть апикальный комплекс – органоид для проникновения в клетки хозяина;
Образуют спорозоиты – подвижные споры;
Разные формы размножения:
1)бесполое - эндогония (внутреннее почкование), шизогония (множественное деление), спорогония (образование спор);
2) половое – копуляция (слияние макро- и микрогамет с образованием зиготы)
В жизненном цикле есть основной и промежуточный хозяин. В основном (окончательном) хозяине паразит размножается половым путем. В промежуточном хозяине паразит размножается бесполым путем.
Слайд #23
Toxoplasma gondii
Токсоплазма – возбудитель токсоплазмоза
Морфологические особенности:
Токсоплазма на стадии эндозоида имеет полулунную форму ( как долька апельсина). Один конец заострен, а другой закруглен. На остром конце имеется коноид. Скопление эндозоидов в клетке хозяина называется псевдоцистой. Несколько сот паразитов, окруженные толстой оболочкой, образуют цисту.
Токсоплазма – возбудитель токсоплазмоза
Морфологические особенности:
Токсоплазма на стадии эндозоида имеет полулунную форму ( как долька апельсина). Один конец заострен, а другой закруглен. На остром конце имеется коноид. Скопление эндозоидов в клетке хозяина называется псевдоцистой. Несколько сот паразитов, окруженные толстой оболочкой, образуют цисту.
Слайд #24
Toxoplasma gondii
Токсоплазма – возбудитель токсоплазмоза
Морфологические особенности:
Токсоплазма на стадии эндозоида имеет полулунную форму ( как долька апельсина). Один конец заострен, а другой закруглен. На остром конце имеется коноид. Скопление эндозоидов в клетке хозяина называется псевдоцистой. Несколько сот паразитов, окруженные толстой оболочкой, образуют цисту.
Токсоплазма – возбудитель токсоплазмоза
Морфологические особенности:
Токсоплазма на стадии эндозоида имеет полулунную форму ( как долька апельсина). Один конец заострен, а другой закруглен. На остром конце имеется коноид. Скопление эндозоидов в клетке хозяина называется псевдоцистой. Несколько сот паразитов, окруженные толстой оболочкой, образуют цисту.
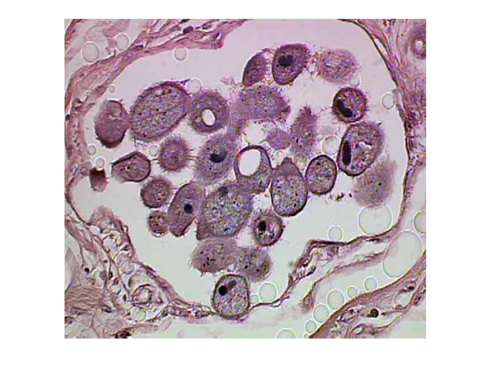
Слайд #25
Toxoplasma gondii
Токсоплазма – возбудитель токсоплазмоза
Морфологические особенности:
Токсоплазма на стадии эндозоида имеет полулунную форму ( как долька апельсина). Один конец заострен, а другой закруглен. На остром конце имеется коноид. Скопление эндозоидов в клетке хозяина называется псевдоцистой. Несколько сот паразитов, окруженные толстой оболочкой, образуют цисту.
Токсоплазма – возбудитель токсоплазмоза
Морфологические особенности:
Токсоплазма на стадии эндозоида имеет полулунную форму ( как долька апельсина). Один конец заострен, а другой закруглен. На остром конце имеется коноид. Скопление эндозоидов в клетке хозяина называется псевдоцистой. Несколько сот паразитов, окруженные толстой оболочкой, образуют цисту.
Слайд #26
тип SARCOMASTIGOPHORA класс Lobosea (Rhisopoda)
Entamoeba histolytica
Entamoeba histolytica
Слайд #27
тип SARCOMASTIGOPHORA класс Lobosea (Rhisopoda)
Entamoeba histolytica
Entamoeba histolytica
Слайд #28
тип SARCOMASTIGOPHORA класс Lobosea (Rhisopoda)
Entamoeba histolytica
Entamoeba histolytica
Слайд #29
Тип Infusoria (Ciliophora) класс Litostomatea Balantidium coli
Слайд #30
Тип Infusoria (Ciliophora) класс Litostomatea Balantidium coli
Слайд #31